Metamorfozy pacjentów

Prawdziwe uśmiechy, prawdziwe historie

Każde z tych zdjęć kryje czyjąś prawdziwą historię – czasem wieloletnią walkę z kompleksami, czasem po prostu decyzję: ‘już dłużej nie chcę się wstydzić’.
Nie retuszujemy, nie ustawiamy idealnego światła. Pokazujemy dokładnie to, co zobaczyliśmy na fotelu – przed i po.
Przejrzyj je spokojnie. Bardzo możliwe, że znajdziesz kogoś, kto zaczynał w podobnej sytuacji jak Ty

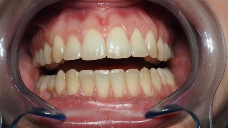
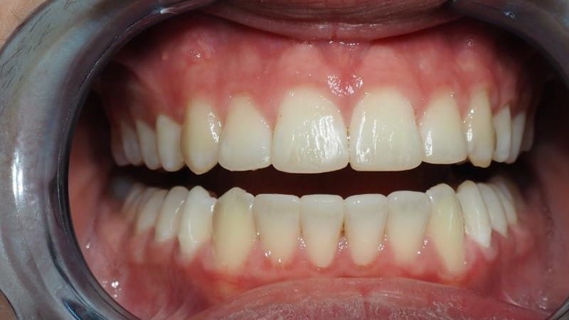
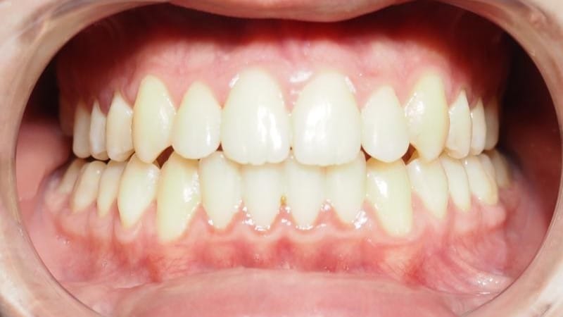
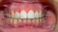
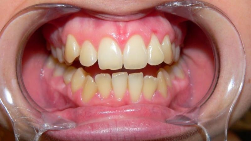
Pełne metamorfozy

Ignacy przed leczeniemIgnacy po leczeniu
Justyna przed leczeniemJustyna po leczeniu
Milena przed leczeniemMilena po leczeniu
Ignacy przed leczeniemIgnacy po leczeniu
Milena przed leczeniemMilena po leczeniu
Before imageAfter image
Before imageAfter image
Before imageAfter image
Before imageAfter image
Before imageAfter image
Before imageAfter image
Before imageAfter image
Before imageAfter image
Before imageAfter image
Before imageAfter image
Before imageAfter image
Before imageAfter image
Before imageAfter image
Before imageAfter image
Before imageAfter image
Before imageAfter image
Before imageAfter image
Before imageAfter image

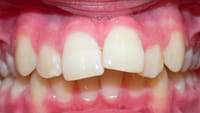
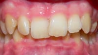
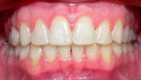
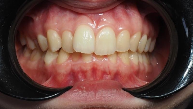
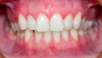
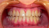
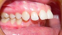
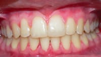
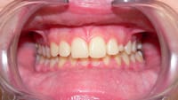
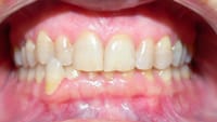
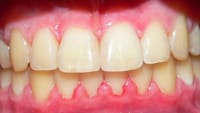
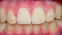
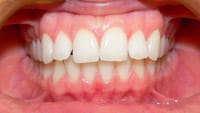
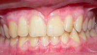
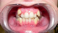
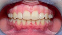
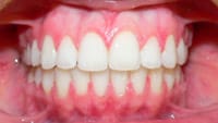
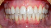
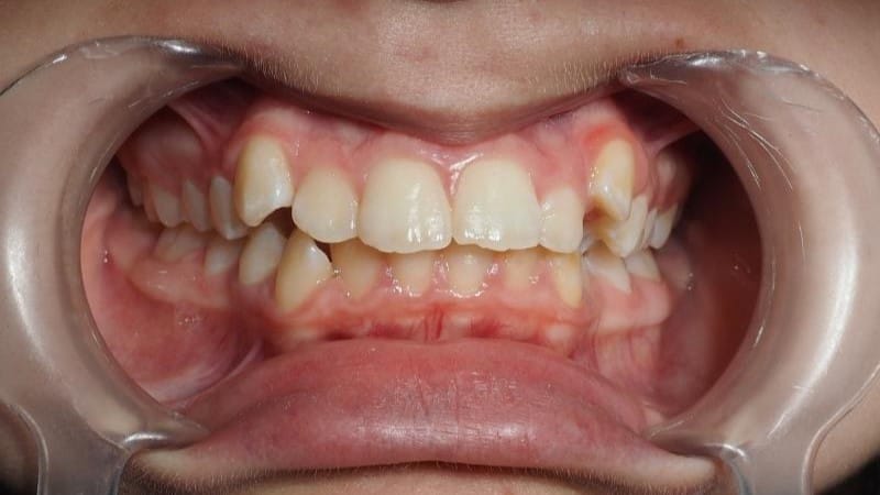
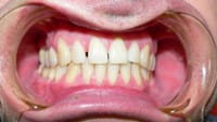
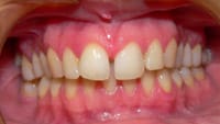
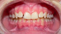
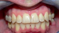
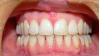
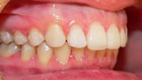
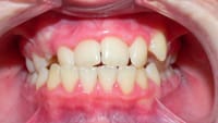
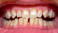
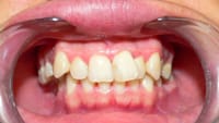
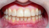
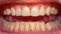
Metamorfozy uśmiechu – zbliżenia

Julia przed leczeniemJulia po leczeniu
Mateusz przed leczeniemMateusz po leczeniu
Patrycja przed leczeniemPatrycja po leczeniu
Tymek przed leczeniemTymek po leczeniu
Magdalena przed leczeniemMagdalena po leczeniu
Nikola przed leczeniemNikola po leczeniu
Before imageAfter image
Before imageAfter image
Before imageAfter image
Before imageAfter image
Before imageAfter image
Before imageAfter image
Before imageAfter image
Before imageAfter image
Before imageAfter image
Before imageAfter image
Before imageAfter image
Before imageAfter image
Before imageAfter image
Before imageAfter image
Before imageAfter image
Before imageAfter image
Before imageAfter image
Before imageAfter image
Before imageAfter image
Before imageAfter image
Before imageAfter image
Before imageAfter image
Before imageAfter image
Before imageAfter image

Chcesz być na następnym zdjęciu ‘po’? Zadzwoń lub napisz – zrobimy Ci miejsce.